A Legacy of Confident, Lifelong Smiles
At Legacy Orthodontics, we love seeing our patients look and feel their best with a beautiful, confident smile.
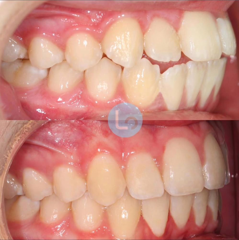
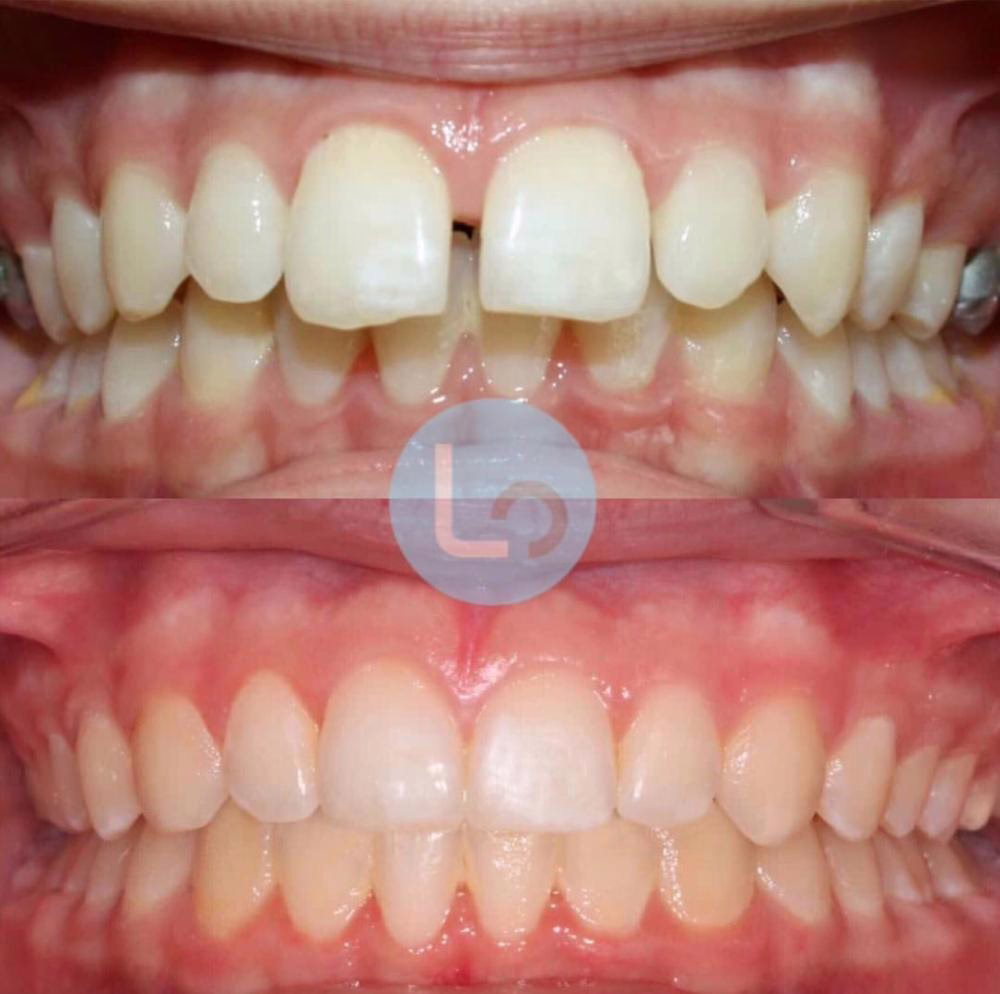
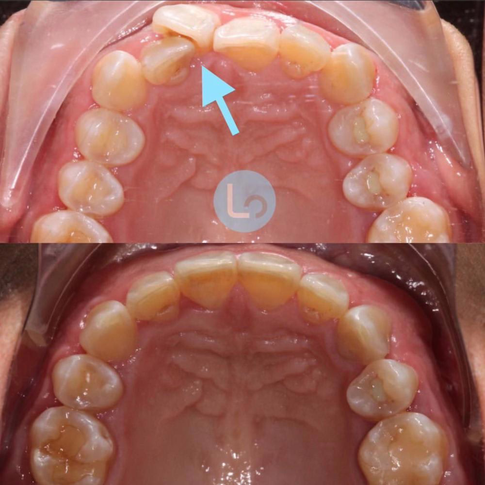
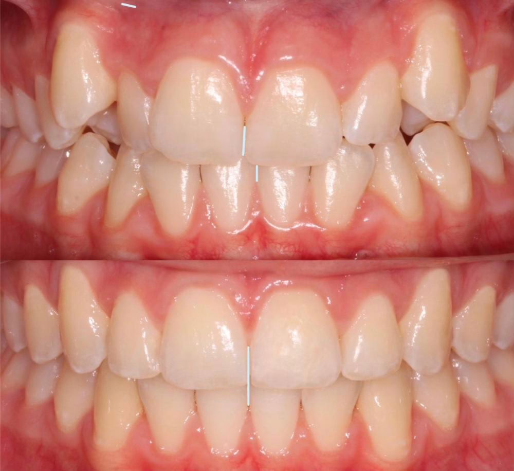
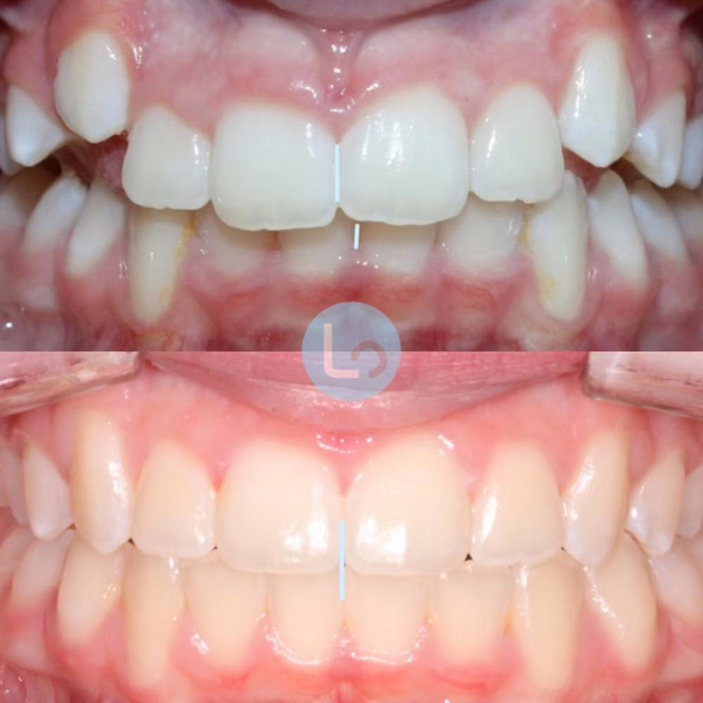
Browse our smile gallery below to see amazing results from some of our awesome patients!
























At Legacy Orthodontics, we love seeing our patients look and feel their best with a beautiful, confident smile.
Browse our smile gallery below to see amazing results from some of our awesome patients!























